National Cancer Survivors Month—Celebrating Strength and Resilience

June is National Cancer Survivors Month—a time to celebrate those who have faced cancer and come through with courage, hope, and determination. It’s also a moment to recognize the caregivers, providers, and loved ones who stand beside them.
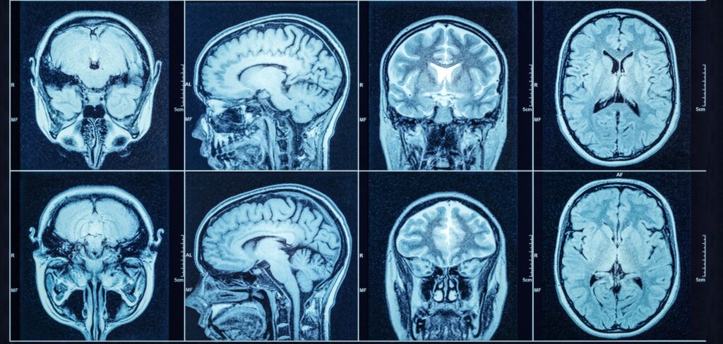
Brain Cancer Symptoms, Causes & Types – What Patients Should Know

Being diagnosed with brain cancer can feel overwhelming, but treatment has come a long way. Depending on the type, size, location, and whether the tumor is benign or malignant, your care team will develop a personalized plan to provide the best chance for recovery and quality of life.
Brain Cancer Awareness—Know the Signs, Share the Facts

Brain Cancer Awareness is about more than a diagnosis—it’s about education, early detection, and support for those impacted. Although brain cancer is relatively rare, it can be life-altering. Raising awareness helps ensure symptoms aren’t ignored and encourages people to seek timely care.