
Lung Care at Bardmoor Cancer Center: What Patients Should Know
At Bardmoor Cancer Center, we are proud to provide Lung cancer care. May is a time for awareness, education, and
Monday, January 19, 2026 – Closed
In observance of Martin Luther King Jr. Day.
As of the afternoon of January 23, 2025, our phones are operational. Thank you for your patience as our phone provider experienced a national outage that impacted our phone services on the afternoon of January 22 and the morning of January 23.
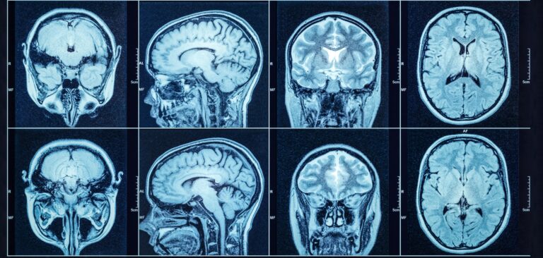
Brain Cancer Awareness is about more than a diagnosis—it’s about education, early detection, and support for those impacted. Although brain cancer is relatively rare, it can be life-altering. Raising awareness helps ensure symptoms aren’t ignored and encourages people to seek timely care.
What to Watch For:
Persistent or severe headaches
Nausea or vomiting
Seizures or vision problems
Difficulty speaking or understanding speech
Personality or mood changes
Because the brain controls so many vital functions, even small tumors can have serious effects. Some brain tumors are benign (non-cancerous), while others are malignant and may grow rapidly. In either case, early diagnosis leads to more treatment options and better outcomes.
During Brain Cancer Awareness Month, we’re committed to spreading knowledge, offering support, and encouraging regular check-ups when symptoms appear.

At Bardmoor Cancer Center, we are proud to provide Lung cancer care. May is a time for awareness, education, and

At Bardmoor Cancer Center, we are proud to provide trusted cancer care in our community. May is a time for

February is a time to recognize the caregivers who stand beside patients through every stage of cancer care. From diagnosis

February is Heart Health Month, and protecting cardiovascular health is an important part of cancer care. Modern oncology focuses not

At Bardmoor Cancer Center, we are proud to provide Lung cancer care. May is a time for awareness, education, and

At Bardmoor Cancer Center, we are proud to provide trusted cancer care in our community. May is a time for

February is a time to recognize the caregivers who stand beside patients through every stage of cancer care. From diagnosis
Our caring team of experts are here to provide you with a custom-tailored treatment plan that is unique to your diagnosis, tumor size, location and involvement. Click on the button below to learn more.